记者2月13日从昆明医科大学第一附属医院(以下简称“昆医大附一院”)获悉,2026年1月31日,在清华大学附属北京清华长庚医院院长、中国工程院董家鸿院士的指导下,昆医大附一院院长曾仲教授带领异种移植团队,成功将一只六基因编辑猪的肝脏和肾脏移植到一名脑死亡受试者体内。术后,移植的异种肝脏与肾脏持续工作11天,创下全球异种肝肾联合移植存活时间最长纪录。尤为重要的是,本次移植肝脏产生的胆汁量已接近正常生理水平,据公开报道,这是目前全球异种肝移植同类研究中胆汁分泌功能的最佳水平。
手术由器官移植科、麻醉科手术室团队历时十小时顺利完成。围手术期管理则由器官移植科牵头,联合重症医学科、检验科、超声科、输血科、消化内科、影像科等多学科团队协同完成。此次突破亦是昆医大附一院多部门协同、临床研究平台系统化支撑的集中体现。

移植肝胆汁分泌量逐日增多,单日最高超200毫升

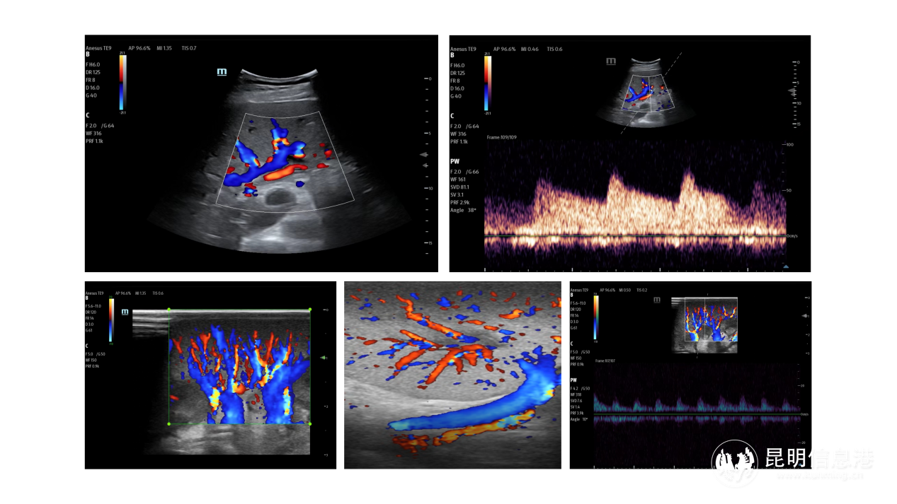
术后B超检查显示,移植肝脏、肾脏血流灌注良好
手术直击:肝脏移植实现历史性突破
据介绍,本次移植所采用的手术方式均严格遵循人体解剖结构与生理功能特点,在确保安全可行的前提下,最大程度模拟正常生理状态。

曾仲院长、黄汉飞主任行受体左半肝切除、供体猪肝移植手术

林杰主任对获取完的供体猪器官进行修整
肝脏移植采用的原位辅助部分肝移植术式,是本次研究的核心环节。曾仲院长、黄汉飞主任先行切除受者左半肝,林杰副主任对供肝进行精细修整后,由曾仲院长与黄汉飞主任完成血管吻合,吻合严格遵循肝脏解剖结构,完整重建门静脉、肝动脉的入肝血流通道。血流开放后,胆管内很快可见金黄胆汁流出,标志着移植肝脏开始发挥功能。
在连续11天的严密观察期内,移植肝脏胆汁分泌功能持续稳定,每日平均胆汁量超150毫升,单日最高超200毫升,接近正常生理水平,达到目前全球异种肝脏移植可见报道的最佳水平。

刘涛主任行供体猪肾移植手术
肾脏移植采用经典异位移植术式,由刘涛主任主刀。血流开放后,移植肾即刻色泽红润,尿液自输尿管顺利流出。观察期内,移植肾脏尿量逐渐增多,总尿量达4000余毫升,单日最高超1800毫升,达到正常生理状态。
此次研究在全球范围内首次系统验证了基因编辑猪的肝脏与肾脏可在人体内协同工作超过十天,共同维持生命基本代谢需求。
意义深远:为解决器官短缺难题提供中国方案
全球每年有数百万终末期器官衰竭患者因等不到供体而死亡,异种移植被视为最具潜力的解决方案之一。本次移植使用的供体猪由中科奥格生物科技有限公司提供,来自国内自主培育的医用猪品系,符合DPF(无指定病原体)级生物安全标准,通过基因编辑技术精准敲除3个猪抗原基因、转入2个人补体调节蛋白基因和1个人凝血调节蛋白基因——以“六基因”的核心策略,有效应对异种器官移植中的免疫排斥与凝血紊乱两大核心障碍。供体猪器官的获取在中国科学院昆明动物研究所完成,该所是昆医大附一院在异种移植领域长期的科研合作单位,双方前期共同完成了多项异种移植动物实验,为本项研究的顺利开展奠定了扎实的前期基础。此次突破为我国乃至全球通过异种移植解决器官短缺难题提供了宝贵数据依据,为今后的临床研究奠定了坚实基础。

曾仲院长带领异种移植手术团队、护理团队查房
本次研究全程在昆医大附一院专门设立的独立科研院区开展,启用了独立配置的专用手术室及重症监护病房,从空间隔离、流程管控到感染防控均按最高标准设计。术后研究团队持续动态监测受者体内猪源性病毒,系统采集病原学数据,为异种移植感染风险管理积累了关键循证依据。从硬件隔离、过程管控到病毒监测,本研究完整实践了异种移植全链条生物安全保障体系。
这是一次更“贴近临床”的技术验证
正因手术方式严格遵循人体解剖生理结构,异种肝脏得以在受者体内实现原位协同、功能互补。本次研究采用的原位辅助部分肝移植术式,与国内外同类研究常用的全肝替换有所不同。该术式保留受者部分自体肝脏,让异种肝脏与自体肝脏在体内同步协同工作,更接近未来临床应用中“桥接治疗”的真实场景——即用猪肝暂时替代衰竭肝脏功能,为患者自体肝再生或等待人源供肝争取时间。这一术式选择,体现了团队从“证明可行”到“怎么用更好”的前瞻思考。

曾仲院长与重症医学科单可记主任、麻醉科邵建林主任讨论围手术期管理方案
更值得关注的是,本次受者在术前即存在肝功能不全,同时伴有急性肾功能不全。在全身代谢状态已受双重打击的复杂条件下,移植的异种肝、肾仍能迅速启动功能、持续稳定工作11天,双双接近正常生理水平。这11天,不仅是时间的纪录,更是对异种器官代偿能力的极限验证——为未来走向终末期患者临床应用提供了极具说服力的数据支撑。

超声医学科曹维涵主任在术中术后动态监测移植器官血流状态
“此次异种肝肾联合移植共11天的成功观察,不仅是一个时间数字的突破,更意味着我们对异种器官在人体内生理适应、免疫调节等复杂过程有了更深刻的认知。”曾仲院长表示,“此次研究过程的每一步都经过严格的伦理审查、技术验证和充分的知情同意。第11天按计划终止研究,正是应受试者家属的要求。我们尊重生命、敬畏科学,目标是让异种移植最终惠及临床。”
此次异种联合移植器官在人体内存活纪录诞生,不仅证明了中国在异种移植技术上的成熟与领先,更为后续开展更长周期、更复杂器官的异种移植研究注入了信心。未来,随着基因编辑技术的进一步优化、免疫抑制方案的改进,猪器官有望为无数器官功能衰竭患者带来重生的希望。(昆明信息港 记者孙红亮)