昆明信息港讯 记者曹芸 6月8日,记者从云南省第三人民医院获悉,该院成功为一名患者实施了涉多处重要血管及四个肝门的肝巨大肿瘤切除手术,切下来的肿瘤重达4.21公斤。目前,患者恢复良好。
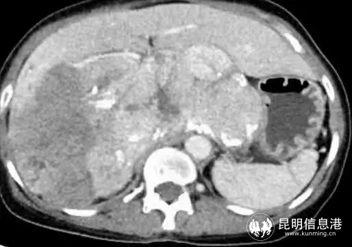
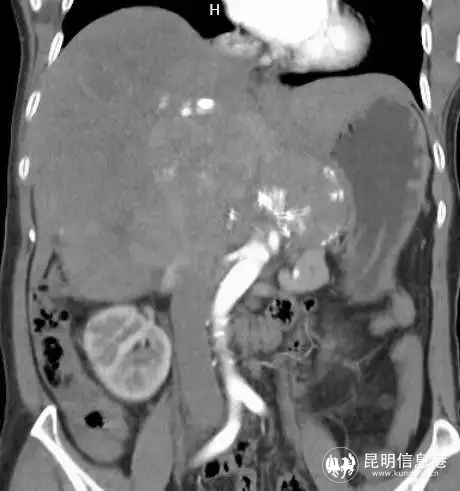
57岁的吴女士,从今年年初开始,感觉体力不断下降,白天易疲劳,提不起精神,胃口也不好,体型日渐消瘦,不久出现右上腹隐约疼痛症状。家人送医后CT检查结果显示:中、上腹巨大不均质肿物,填塞肝门,贴压胆囊、胰腺、右肾、门静脉、下腔静脉,考虑恶性。
病人和家属立刻感到紧张和无助,虽在各大医院辗转求诊,均表示治疗意义不大。在病人和家属的多方打听下,偶然得知云南省第三人民医院肝胆胰外科对此类疾病有成熟的治疗方案和很多成功案例,慕名到院就诊。


图为术前影像
患者入院后,省三院肝胆胰外科专家团队经过仔细检查后发现该患者中上腹巨大不均质肿物已经填塞肝门,与肝实质分界不清,贴压胆囊、胰腺、右肾、门静脉、下腔静脉,手术操作的空间非常小。其次,患者身体基础条件十分不好,长期高血压,心肺功能极差,肝功能下降,手术难度极大。
云南省第三人民医院肝胆胰外科主任江行带领专家团队对患者的病情进行了详细的评估和分析,并与患者家属进行了耐心细致的沟通和解释。取得患者同意和支持后,以江行主任、李胜宏教授、薛致骞教授为主的专家手术团队,决定为患者施行“涉多处重要血管及四个肝门的肝巨大肿瘤切除(右半肝联同全尾叶)”手术。

图为手术中
6月5日8时,手术正式开始。江行主任带领专家手术组历时6个小时,实施了切除、重建、修补过程。最终,顺利完成巨大肿瘤切除+右半肝、全尾状叶切除术+胆囊切除术。成功从患者体内取出长约27厘米,重达4.21千克的肿瘤。

图为从患者体内取出的重达4.21千克的肿瘤
术后,因患者身体基础条件较差,营养严重不良。肝胆胰外科医护团队针对患者病情和术后状况,进行补充营养和保肝、护肝等后续治疗,患者病情逐步稳定,神志、血压、心率、呼吸渐趋正常,健康状况逐渐好转。目前,患者恢复良好,待完全康复后即可出院。