“光控”在现实生活中慢慢普及,例如手机人脸识别解锁、汽车雾灯自动开启……
通过感光元器件实现对事物的控制,这次被光操控的是基因编辑。我国科学家的这一研究成果于7月11日发表在《科学》子刊《科学·进展》(Science Advances)上。
“LED发出的730nm的远红光可激活系统进行基因的编辑工作。”论文通讯作者、华东师范大学生命科学学院、医学合成生物学研究中心研究员叶海峰对科技日报表示,有光的地方基因的“编辑”、“剪切”才会发生,可以理解为“指哪打哪”。

叶海峰研究员(左)为该研究论文的通讯作者,博士研究生于袁欢(右)为该研究论文的第一作者。
FAST系统“光启”基因编辑
CRISPR-Cas9基因编辑技术近年来应用广泛,被形象地称为“基因剪刀”,使得人类终于掌握了简便可行的基因“操控术”。
然而,基因编辑仍处于“冷兵器时代”,人们想要更便捷地操控它,是否存在新的方式,让人们按下“按钮”就能启动,再按一下就能关闭呢?尤其当基因编辑要走进临床应用,必须要具有灵活、高精度的操控方法才能更具安全性。
合成生物学家开始试着给细胞里的生化工厂“装配元件”、“编写程序”,推动基因编辑技术走进“自动化时代”。
“实现光控”需要在基因编辑前装一个“光感装置”用于“引爆”,这个装置长什么样子?有哪些零件?
在红细菌中有一种蛋白BphS,在接收到远红光的信号后就会被激活,释放一个信号。而在放线菌里有一种蛋白BldD,接收到这个信号就能去结合DNA序列。
“我看到这个信息的时候,觉得非常兴奋。前一种蛋白让光和生物体‘接上头’,后一种蛋白又‘链接’上了DNA。”叶海峰说,这种“跨界打通”意味着有很多工作可做,因为只要信号能传导到DNA,就能推进生物学的操控。
叶海峰团队以放线菌中的BldD蛋白为基础,将其亲和DNA序列与哺乳动物的转录激活子融合,创制了一个杂交型的转录激活子,这一开关成为按下“启动键”的关键元件。
这一元件的前方前置了光敏蛋白,接收光信号;后方连接上“基因剪刀”Cas9核酸酶。这个巧妙的设计使得整个系统只有感光后,才能够启动基因编辑。光控基因编辑的图纸就此设计完成。

一波三折
科研探索“峰回路转”
理论“图纸”和关键元器件都已准备就绪,叶海峰团队开始用合成生物学的方法按照图纸对这些关键元器件进行组装。
令人意想不到的是,在细胞水平的验证中,基因编辑并没有因为光的有无而产生明显的变化,远红光照射没能刺激Cas9核酸酶的高量表达,熄灭光源也没阻止基因编辑工作。
问题出在了哪里?按照图纸设计,整个流程应该是无懈可击的。
叶海峰百思不得其解。“这一研究工作我们持续推进了5年,有的关键性问题如果不能解决将耽误整个研究的进展。”叶海峰说,合成生物学要在活体内运转,会有很多无法排查的意外。它不像编程,跑一遍会有纠错,或者至少会提示哪个部分出现“BUG”。
这次的“BUG”出现在哪里?启动基因的工作被相继验证,2017年、2018,叶海峰课题组在《科学·转化医学》《美国科学院院刊》相继发表论文,证明了远红光调控转基因表达控制系统的可行性以及基因编辑CRISPR-dCas9酶的转录激活都是可行的。
“我们试验了各种方案,但整个系统的运行却都失败了。”叶海峰说,这个结果意味着需要对策略进行根本性的调整。
直到有一天,叶海峰在《自然》子刊(Nature Biotechnology)上看到一篇张锋(基因编辑技术发明人之一)的文章,上面说基因编辑的Cas9蛋白可以一拆而二,拆开来之后的两半再合起来也是有功能的。
“受到这样的启发,我们就想我们可不可以就把它拆成两半,一半是连续的强表达(自始至终一直表达),另一半用光驱动调控来表达。”叶海峰说,就像“钥匙”的两半拼在一起才能开锁一样。
“拼”这个动作又要怎么自动实现呢?叶海峰想到了热纤维梭菌中的一对能够自发相互结合的蛋白Coh2和DocS。让它们加入进来,分别与Cas9的两部分融合,Coh2和DocS就会像“磁石”一样,将Cas9的两部分拼装成完整、有功能的完整Cas9核酸酶。

“究竟是哪一半用光来调控诱导表达,都是有说法的。”叶海峰回忆,课题组对多种情况进行了试验,至少进行了上百种不同序列的验证,以寻找最佳光控基因编辑效果。
“我们还对整个系统进行了优化,例如质粒的浓度配比,核输入信号和核输出信号的选择及组合等,并在细胞水平进行了测试。”叶海峰说,经过严谨的优化,实验结果最终令人满意,并将其命名为“FAST系统”。
研究结果显示,FAST系统在LED发射的低强度远红光照射下可以诱导细胞内的基因编辑,而在黑暗情况下保持“静默”的效果也很好。
进一步地研究表明,FAST系统在多种细胞中均显示出可调控的基因编辑效果,并具有很好的光照强度和时间依赖性,以及高度的时空特异性,为研究FAST系统在动物体内的可调控基因编辑能力奠定了基础。
“我们至今也不太清楚为什么直接调控表达完整Cas9核酸酶的系统不成功。”叶海峰说,不按程序走,这就是生命科学的神奇之处,而合成生物学正是在破解这些意外中积累起来,最终解决更大的科学命题。
FAST系统“打怪升级”
走进肿瘤BOSS不简单
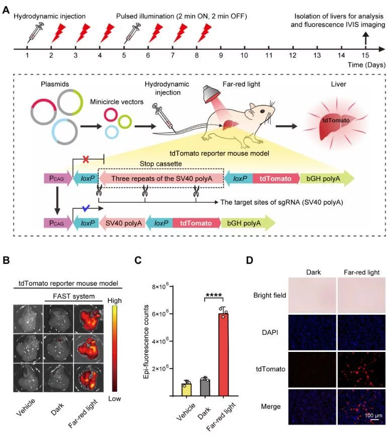
生命体是复杂的,在细胞水平运转良好的系统在活体中能不能工作,仍面临着重重挑战。为此,在进行了细胞验证后,研究者还进行了转基因报告模型小鼠和肿瘤模型小鼠的验证工作。
“让整个系统在活体中工作,会遇到新的问题,比如递送的问题。”叶海峰解释,FAST系统由好几个质粒组成,它们进入细胞比较简单,但能不能突破重重阻碍进入到组织细胞里面呢?比如怎么高效递送到肝脏里面,怎么高效的递送到肿瘤组织里面,这就需要借助于递送系统,而且递送的效率直接决定整个系统的工作效率。
“研究推进时,递送技术是又一个难题,我们最初直接通过静脉注射,效果却不是那么好。”叶海峰说,“细胞中工作的质粒在进入活体的时候受到了阻碍,因为整个系统承载的元件太多,所有元件同时递送的效率不能保证,且质粒会被机体认为是外来物而被清除掉。”
想进入活体,整个系统还需要再调整。“这就好比原来坐的卡车太大了、目标明显,需要换乘一个‘特洛伊木马’潜进去。”叶海峰说。

研究团队后来在伙伴团队的帮助下,使用另一种更小的、并能够整合进细胞里的质粒进行系统的递送工作。实验结果中,转基因报告的小鼠在肝脏部位显示出了基因编辑的报告情况,表明小鼠肝脏细胞中DNA可通过光控编辑。
实体瘤是比组织器官更致密的组织,进入其中则需要进一步升级“递送系统”。
“为了把FAST系统高效递送到肿瘤组织细胞里面,我们用了一个以纳米技术合成的递送材料,材料是浙江大学合作团队提供的,他们是专门做 DNA分子递送的,最终实现了整个系统向肿瘤组织的高效递送。”叶海峰说。
在肿瘤模型小鼠中的验证结果显示,将FAST系统递送至小鼠体内的肿瘤中,通过远红光LED的照射使得FAST系统切割肿瘤致癌基因即可显著抑制肿瘤的生长。
再好的技术只有走进应用才能实现价值。“之所以希望实现光控,初心就是希望推进广泛的应用。”叶海峰说,实验也证明了远红光可以透过小鼠的皮肤进入到小鼠的肝脏内部,甚至进入到实体瘤内部。这意味着FAST系统有希望在真实世界得到应用,也有疾病治疗的应用潜力。
叶海峰表示,团队仍在进一步优化光控基因表达系统,例如现在的光控系统需要光照射2小时才能工作,而未来可以实现照射几秒就能产生效果。(记者张佳星)